
名古屋市守山区・東区・名東区・千種区・春日井市・尾張旭市で
矯正治療をご検討の方へ
責任をもってあなたの歯並びを整える
インビザラインによる
マウスピース
矯正治療




名古屋市守山区・東区・名東区・千種区・春日井市・尾張旭市
で矯正治療をご検討の方へ
責任をもってあなたの歯並びを整える
インビザラインによる
マウスピース
矯正治療



Promise
リンクスター歯科
”患者様とのお約束”

Promise 01
初回カウンセリング検査では、患者様のお悩みについて真摯に相談に乗ります。
また、無理な契約を進めることはございませんので、お気軽にご予約ください。
Promise 02
綿密な治療計画をご提案してから治療を開始します。
Promise 03
格安マウスピース矯正や希望通りの歯並びにならなかった方や後戻りしてしまった方ご相談ください。
Features
リンクスター歯科が
”選ばれる7つの理由”

Features 01
累計500件の矯正治療実績
2023年4月の開業から3年間で守山区を中心に、東区・名東区・春日井市・尾張旭市など周辺地域の方へ500件以上矯正治療を行いました。
これまでの経験に基づき、患者様を綺麗な歯並びへと治療いたします。
初めての矯正治療で不安が多い方は、ぜひ当院にご相談ください。
Features 01
累計500件の矯正治療実績

2023年4月の開業から3年間で守山区を中心に、東区・名東区・春日井市・尾張旭市など周辺地域の方へ500件以上矯正治療を行いました。
これまでの経験に基づき、患者様を綺麗な歯並びへと治療いたします。
初めての矯正治療で不安が多い方は、ぜひ当院にご相談ください。

Features 02
最短3ヶ月3回の来院で治療完了
患者様の状況に合わせた丁寧かつ効率的な治療計画を作成します。
要所を押さえた的確な治療により、短期間・少ない来院回数での完治を実現。
お忙しい方も通いやすい診療体制です。
Features 02
最短3ヶ月3回の来院で治療完了

患者様の状況に合わせた丁寧かつ効率的な治療計画を作成します。
要所を押さえた的確な治療により、短期間・少ない来院回数での完治を実現。お忙しい方も通いやすい診療体制です。

Features 03
丁寧な説明と緻密な治療計画
治療前にわかりやすく丁寧な説明を徹底。生涯健康なお口を保つため、検査による早期発見と予防を重視し、患者様一人ひとりの希望に寄り添った最適な治療プランをご提案します。
Features 03
丁寧な説明と緻密な治療計画

治療前にわかりやすく丁寧な説明を徹底。生涯健康なお口を保つため、検査による早期発見と予防を重視し、患者様一人ひとりの希望に寄り添った最適な治療プランをご提案します。

Features 04
難症例や歯並びが
後戻りした方も対応可能
他医院で矯正治療をお断りされてしまった方や後戻りしてしまった方の矯正治療をお引き受けしています。
当院へ一度お気軽にご相談ください。
Features 04
難症例や歯並びが
後戻りした方も対応可能

他医院で矯正治療をお断りされてしまった方や後戻りしてしまった方の矯正治療をお引き受けしています。
当院へ一度お気軽にご相談ください。

Features 05
月々6,400円(税込)から
矯正治療が可能
月額6,400円からお支払いできるデンタルローンによる分割払いを適用しています。
詳しくはページ下部の料金プランや無料カウンセリング時にお聞きください。
※自由診療につき公的医療保険適用外
Features 05
月々6,400円(税込)から
矯正治療が可能

月額6,400円からお支払いできるデンタルローンによる分割払いを適用しています。
詳しくはページ下部の料金プランや無料カウンセリング時にお聞きください。
※自由診療につき公的医療保険適用外

Features 06
キッズスペースと保育士常駐で
お子様連れも安心して通院可能
保育士が常駐し、診療中はお子様を安全にお預かりします。
小さなお子様がいても安心して治療に専念できる環境をご用意。
親子で通うことで、お子様も歯科医院を身近に感じられます。
Features 06
キッズスペースと保育士常駐で
お子様連れも安心して通院可能

保育士が常駐し、診療中はお子様を安全にお預かりします。小さなお子様がいても安心して治療に専念できる環境をご用意。
親子で通うことで、お子様も歯科医院を身近に感じられます。

Features 07
駐車場24台完備で
遠方からも安心して通院可能
お車でお越しいただく方も安心して通院できるよう駐車場を24台完備しています。
そのため守山区を中心に、東区・名東区・春日井市・尾張旭市など周辺地域の方によく来院いただいています。
Features 07
駐車場24台完備で
遠方からも安心して通院可能

お車でお越しいただく方も安心して通院できるよう駐車場を24台完備しています。
そのため守山区を中心に、東区・名東区・春日井市・尾張旭市など周辺地域の方によく来院いただいています。
まずは無料相談に
お越しください
専門の歯科医が丁寧にカウンセリングし、
治療の流れや費用についてもわかりやすく
ご説明いたします。
まずはお気軽にご相談ください。
Mouthpiece
リンクスター歯科が
”取り扱うマウスピース
矯正メーカー”

【世界No.1シェア】
インビザライン
世界で1800万人から信頼されている
マウスピース矯正メーカーを
使用しています
当院では、インビザラインというマウスピース型の矯正装置を利用します。
インビザラインは世界で1,800万人が利用している、
世界で最も普及しているマウスピース矯正です。
治療は矯正検査の上、歯型を取って治療修了までのマウスピースを作成致し、このマウスピースを2週間ごとに交換して、少しずつ歯を動かしていきます。
メリット
- 透明なマウスピースで目立ちにくい
- 食事や歯磨きのときは矯正装置を取り外し可能
- 装着した時の不快感が少ない
- 少しずつ歯を動かすため、痛みが少ない治療
- 口内炎や虫歯など口腔内のトラブルが少ない
デメリット
- ワイヤー矯正を併用しないと希望の歯並びにならないケースがある。
- 医師の指示に従い正しく装置を使用しなければ、治療期間が延長する場合がある。
- マウスピース矯正で治療できない場合がある。
副作用やリスク
疼痛、咬合時痛、知覚過敏、歯根吸収、歯肉退縮が生じる可能性があります。
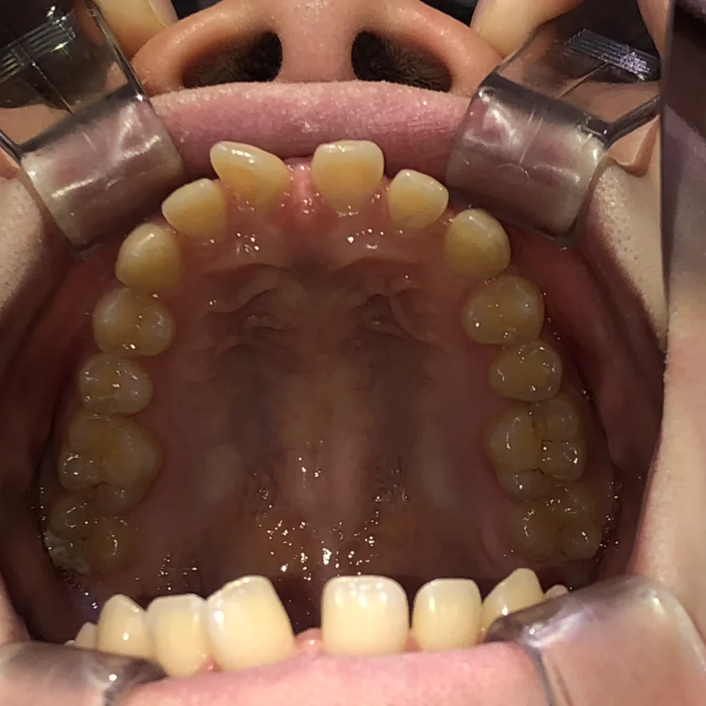
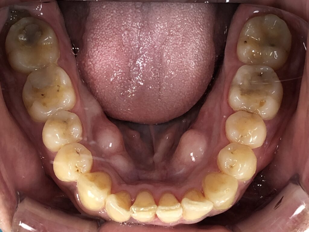
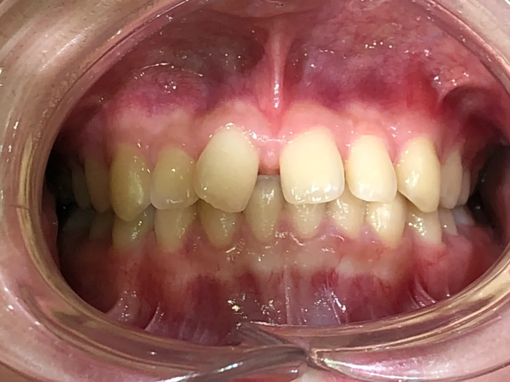
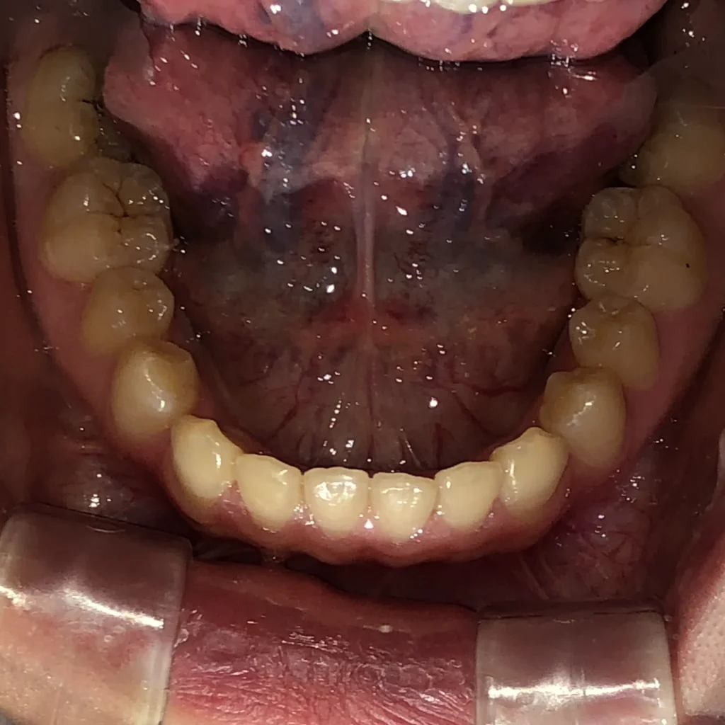
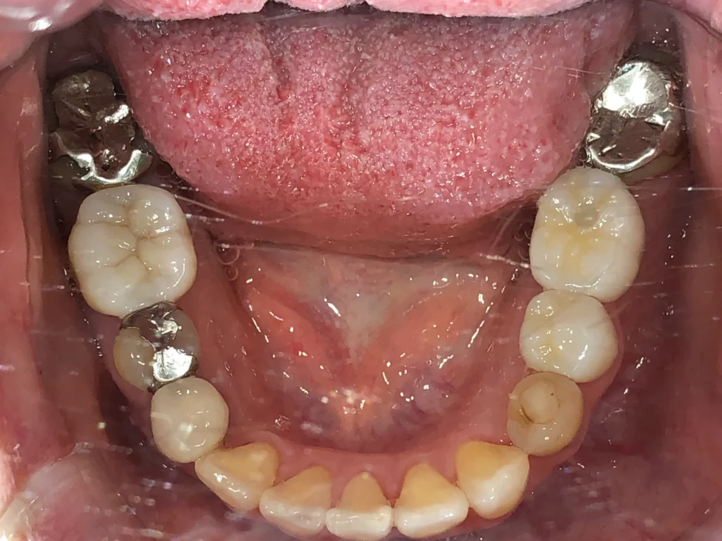
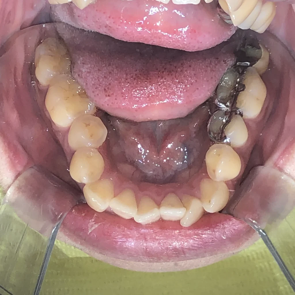
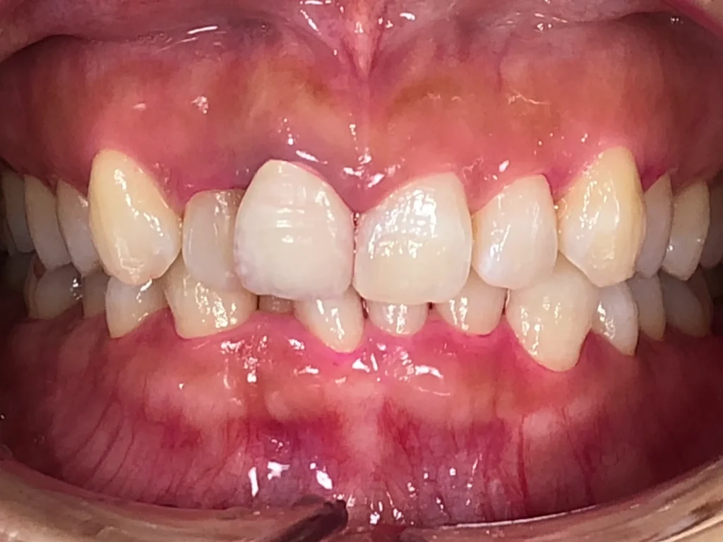
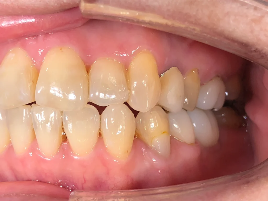
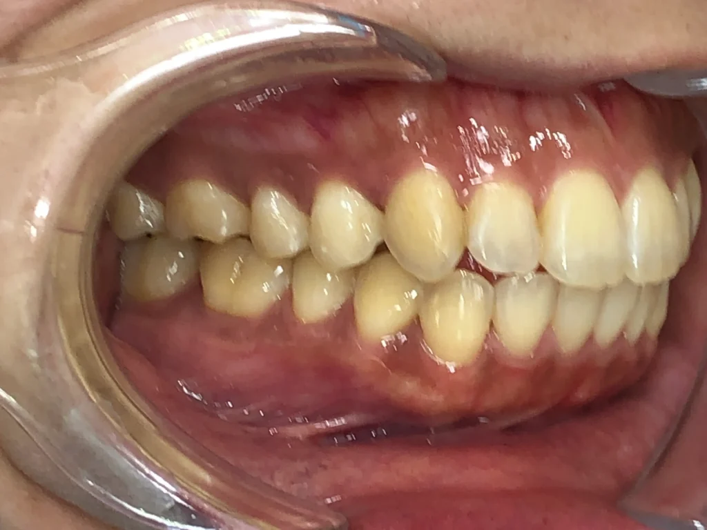
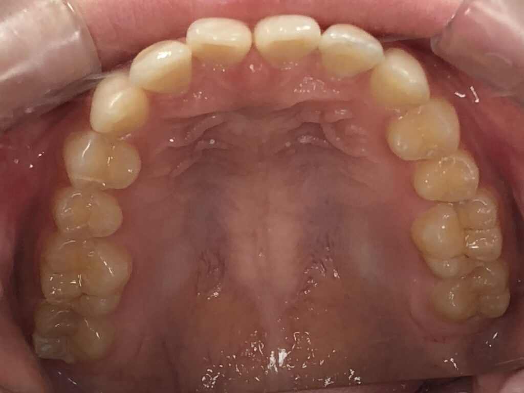
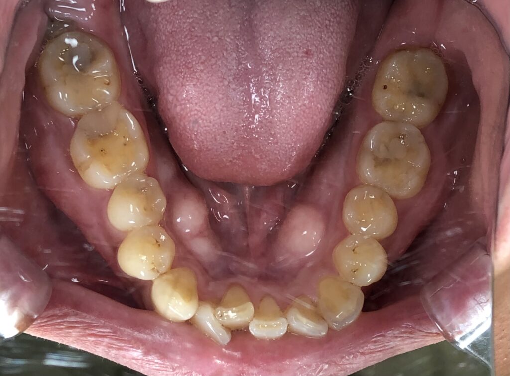
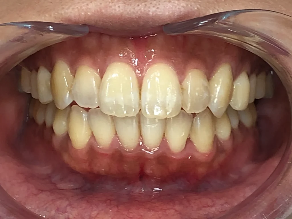
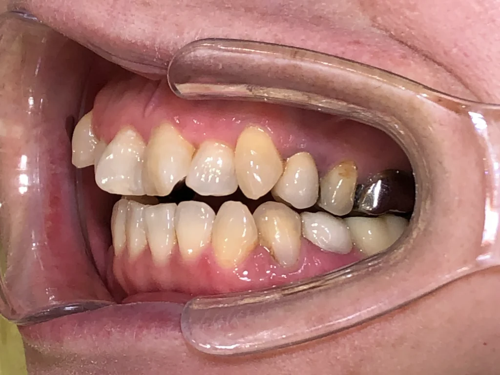
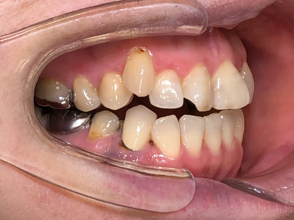
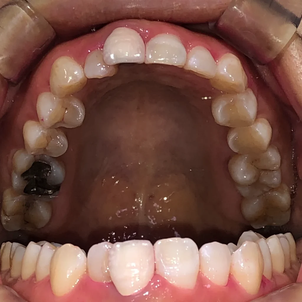
Case
リンクスター歯科の
”矯正治療実績”
累計500件の矯正治療実績から
キレイな歯並びになるために
最適な治療をいたします。
-
主 訴
上顎前歯の歯並びが気になる。
治療方法
インビザライン
抜歯有無
なし
治療期間
4ヶ月
費 用
450.000円(上顎側切歯ラミネートベニア別)
-
主 訴
前歯のガタつきが気になる。
治療方法
インビザライン
抜歯有無
なし
治療期間
6ヶ月
費 用
660,000円
-
主 訴
前歯で噛めない
治療方法
インビザライン
抜歯有無
なし
治療期間
1年
費 用
880,000円
-
主 訴
下顎前歯の歯並びが気になる
治療方法
インビザライン
抜歯有無
なし
治療期間
4ヶ月
費 用
450,000円
-
主 訴
上下の前歯のガタつきが気になる。
治療方法
インビザライン
抜歯有無
なし
治療期間
4ヶ月
費 用
450,000円
まずは無料相談に
お越しください
専門の歯科医が丁寧にカウンセリングし、
治療の流れや費用についてもわかりやすく
ご説明いたします。
まずはお気軽にご相談ください。
Price
リンクスター歯科の
”矯正治療の料金表”
料金表
マウスピース矯正(10歳以上)
-
矯正検査診断(自由診療)
※高校卒業までは保険適応で0円 -
5,500円
-
矯正検査診断(自由診療)
5,500円 -
※高校卒業までは保険適応で0円 -
3ヶ月コース
デンタルローンをご利用の場合:月々6,400円~ -
49万円
-
3ヶ月コース
49万円 -
デンタルローンをご利用の場合:月々6,400円~ -
6ヶ月コース
デンタルローンをご利用の場合:月々9,000円~ -
69万円
-
6ヶ月コース
69万円 -
デンタルローンをご利用の場合:月々9,000円~ -
1年コース
デンタルローンをご利用の場合:月々円~10,500 -
89万円
-
1年コース
89万円 -
デンタルローンをご利用の場合:月々10,500円~ -
2年コース
デンタルローンをご利用の場合:月々13,000円~ -
110万円
-
2年コース
110万円 -
デンタルローンをご利用の場合:月々13,000円~ -
保定装置(上下ひと組)
-
0~3.3万円
支払い方法
- 現金払い・Paypay
- クレジット払い:各種クレジットカードでのお支払い可能です。
- デンタルローン:デンタルローンの詳細に関してはカウンセリング時にお伝えいたします。

1. 現金払い・Paypay
2. クレジット払い:各種クレジットカードでのお支払い可能です。

3. デンタルローン:デンタルローンの詳細に関しては
カウンセリング時にお伝えいたします。
下記の表はあくまでも参考の金額となります。 予めご了承ください。
下記の表はあくまでも参考の金額となります。
予めご了承ください。
| 回数 | 12回 | 24回 | 36回 | 48回 | 60回 | 72回 | 84回 | 96回 |
490,000円の場合(月額支払い費用) | 42,128円 | 21,673円 | 14,862円 | 11,463円 | 9,428円 | 8,075円 | 7,111円 | 6,392円 |
690,000円の場合(月額支払い費用) | 59,322円 | 30,519円 | 20,929円 | 16,141円 | 13,276円 | 11,370円 | 10,014円 | 9,001円 |
| 回数 | 49万円の場合(月額支払い費用) | 69万円の場合(月額支払い費用) |
| 12回 | 42,128円 | 59,322円 |
| 24回 | 21,673円 | 30,519円 |
| 36回 | 14,862円 | 20,929円 |
| 48回 | 11,463円 | 16,141円 |
| 60回 | 9,428円 | 13,276円 |
| 72回 | 8,075円 | 11,370円 |
| 84回 | 7,111円 | 10,014円 |
| 96回 | 6,392円 | 9,001円 |
医療費控除について
医療費控除とは、その年の1月1日から12月31日までの間に患者様本人、または家族全員の1年間の医療費の合計が10万円を超えた場合に一定の金額が還付される制度です。
確定申告することで還付金を受け取ることができます。
全体矯正で治療費が690,000円の場合
所得額(万円) | 250 | 300 | 400 | 500 | 600 | 700 | 800 | 900 | 1000 |
返還金額 (還付金+減税額) | 118,000円(59,000+ | 118,000円(59,000+ | 177,000円(118,000+ | 177,000円(118,000+ | 177,000円(118,000+ | 194,700円(135,700+ | 194,700円(135,700+ | 194,700円(135,700+ | 253,700円(194,700+ |
| 所得額 (万円) | 返還金額 (還付金+減税額) |
| 250 | 118,000円 (59,000+59,000) |
| 300 | 118,000円 (59,000+59,000) |
| 400 | 177,000円 (118,000+59,000) |
| 500 | 177,000円 (118,000+59,000) |
| 600 | 177,000円 (118,000+59,000) |
| 700 | 194,700円 (135,700+59,000) |
| 800 | 194,700円 (135,700+59,000) |
| 900 | 194,700円 (135,700+59,000) |
| 1000 | 253,700円 (194,700+59,000) |
部分矯正で治療費が490,000円の場合
所得額(万円) | 300 | 400 | 500 | 600 | 700 | 800 | 900 | 1000 |
返還金額 (還付金+減税額) | 78,000円(39,000+39,000) | 117,000円(78,000+ | 117,000円(78,000+ | 117,000円(78,000+ | 128,700円( | 128,700円( | 128,700円( | 167,700円(128,700+ |
| 所得額 (万円) | 返還金額 (還付金+減税額) |
| 300 | 78,000円 (39,000+39,000) |
| 400 | 117,000円 (78,000+39,000) |
| 500 | 117,000円 (78,000+39,000) |
| 600 | 117,000円 (78,000+39,000) |
| 700 | 128,700円 (89,700+39,000) |
| 800 | 128,700円 (89,700+39,000) |
| 900 | 128,700円 (89,700+39,000) |
| 1000 | 167,700円 (128,700+39,000) |
Flow
リンクスター歯科の
”矯正治療の流れ”
01
ご予約・問い合わせ
お電話・ご予約フォームからご連絡ください。
初回カウンセリングや検査をしていただく日時をご予約いただきます。

02
矯正相談検査 (約30分/5500円)
お口の中を確認し、矯正方法の説明や概算の金額、期間などの説明を行います。歯並びで気になっている部分、不安な部分などにしっかりとお答えするために、時間を確保して行います。

03
LINEで事前に治療結果を確認 (0円)
ご契約前にご自宅でLINEにて、ご自身の矯正治療後のシミュレーションや料金プラン・治療期間をご確認できます。

04
診断結果や治療計画のご説明
矯正検査のご報告と治療計画、ご利用料金についてご説明いたします。ご自身やご家族としっかり相談した上で、ご契約いただくことを推奨しています。

05
ご契約&お支払い
治療計画や費用にご納得いただいた後にご契約となります。
当院ではデンタルローンによる分割払いを適用しています。ご相談ください。

06
治療開始
基本的な来院頻度はマウスピース矯正が1~2ヶ月に1回となります。
尚、治療計画により来院回数が異なります。

07
治療完了・メンテナンス
矯正終了後は、歯がもとにもどらないようにリテーナ(保定装置)を制作し、つけていただきます。

-
医院名
-
リンクスター歯科
-
住所
-
〒463-0047
愛知県名古屋市守山区小幡常燈18-5 -
アクセス
-
名鉄瀬戸線 小幡駅より早歩き3分
-
駐車場
-
8台完備 第2駐車場あり・16台
第2駐車場の住所記載


Doctor
リンクスター歯科の
”院長紹介”

リンクスター歯科院長
鈴木 信之介
[ 経歴 ]
- 愛知県出身
- 朝日大学卒業
- 名古屋市および常滑市で勤務
- 副院長を経験 研鑽を積む
- 2023年4月 リンクスター歯科を開院
[ 資格・学会 ]
- 日本小児口腔発達学会(NPD)
- 日本口腔インプラント学会
- 国際食育士協会 歯科食育士エキスパート
- 歯科医院経営戦術集団TACT-X 指導医
- マイオサークル(小児予防矯正)セミナー修了
- 歯周内科ベーシックセミナー修了
- プレオルソセミナー修了
- 息育指導士(あいうべ体操マスターコース修了)
まずは無料相談に
お越しください
専門の歯科医が丁寧にカウンセリングし、
治療の流れや費用についてもわかりやすく
ご説明いたします。
まずはお気軽にご相談ください。



